Bruxismo: las señales que delatan que rechinas los dientes

El deterioro de los dientes no siempre se origina por caries o una higiene deficiente. En muchos casos, comienza de manera silenciosa mientras se duerme, debido al bruxismo, un trastorno cada vez más frecuente que consiste en apretar o rechinar los dientes sin que la persona sea consciente. Sus efectos pueden ir desde molestias leves hasta daños permanentes en la dentadura.
Aunque suele relacionarse con el estrés, el bruxismo puede tener diversas causas y, con frecuencia, pasa desapercibido durante mucho tiempo. Detectarlo a tiempo es fundamental para evitar complicaciones más serias.
¿Qué es el bruxismo y por qué se presenta?
El bruxismo es un hábito involuntario que implica apretar o deslizar los dientes, ya sea durante el sueño o estando despierto. En su forma más común, el bruxismo nocturno, la persona no se da cuenta de lo que ocurre, lo que dificulta su identificación temprana.
Entre los factores que pueden provocarlo se encuentran el estrés, la ansiedad, trastornos del sueño, problemas de alineación dental y el consumo excesivo de cafeína o alcohol. En algunos casos, también puede estar relacionado con afecciones neurológicas o respiratorias.
Señales que pueden indicar bruxismo
Uno de los principales problemas es que muchas personas desconocen que lo padecen. Sin embargo, existen señales que pueden alertar sobre su presencia:
Dolor o rigidez en la mandíbula al despertar Sensibilidad dental sin causa aparente Dolores de cabeza frecuentes, sobre todo en la zona de las sienes Desgaste visible en los dientes Ruidos o molestias al abrir la boca Problemas de sueño o sensación de no haber descansado bien
En ocasiones, es la pareja quien detecta el problema al escuchar el rechinido de los dientes durante la noche.
Impacto en la salud bucal
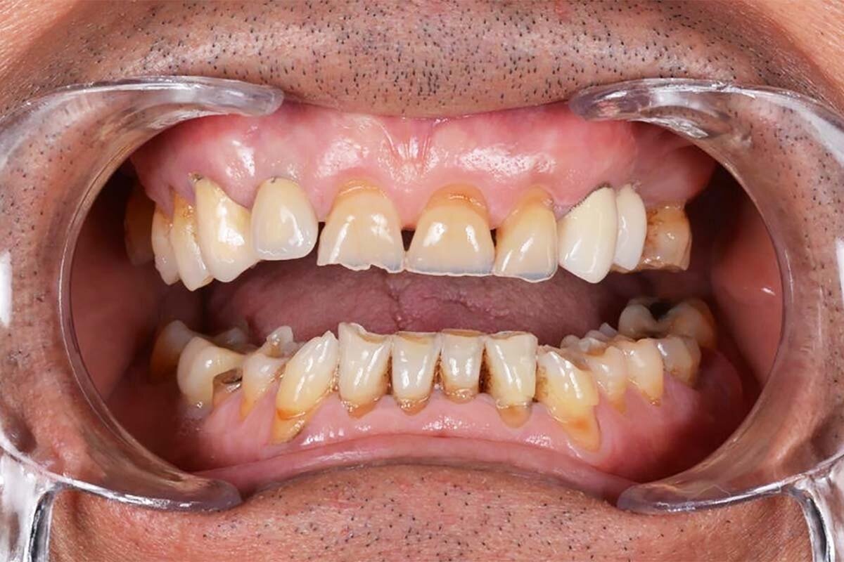
El bruxismo puede afectar progresivamente la salud dental. El roce constante entre los dientes desgasta el esmalte, debilitando su protección natural y aumentando el riesgo de fracturas, caries y sensibilidad.
Además, la presión continua puede dañar la articulación temporomandibular (ATM), generando dolor facial crónico y dificultades para masticar o hablar. En casos más graves, incluso puede modificar la forma del rostro debido a la tensión constante en los músculos de la mandíbula.
Cómo prevenir el desgaste dental
El manejo del bruxismo requiere un enfoque integral que atienda tanto los síntomas como sus causas. Algunas recomendaciones incluyen:
Uso de férulas nocturnas Son dispositivos hechos a medida que se colocan sobre los dientes para evitar el contacto directo entre ellos durante el sueño y reducir el desgaste.
Control del estrés Dado que es uno de los principales desencadenantes, técnicas como la meditación, ejercicios de respiración o terapia pueden ayudar a disminuir los episodios.
Mejorar los hábitos de sueño Dormir adecuadamente contribuye a reducir la actividad involuntaria de la mandíbula. Mantener horarios regulares y evitar pantallas antes de dormir puede ser útil.
Reducir estimulantes Disminuir el consumo de cafeína, alcohol y tabaco, especialmente por la noche, puede ayudar a controlar el rechinamiento.
Visitas regulares al dentista El especialista puede detectar signos tempranos de desgaste y recomendar el tratamiento más adecuado según cada caso.
¿Cuándo buscar ayuda?
Si los síntomas persisten o se intensifican, es importante acudir con un profesional de la salud dental. Un diagnóstico oportuno permite controlar el problema y evitar daños permanentes.
El bruxismo no es solo una molestia pasajera, sino una condición que puede afectar seriamente la salud bucal si no se atiende. Reconocer sus señales y actuar a tiempo es esencial para cuidar los dientes a largo plazo.
ENFERMEDADES : Déficit de magnesio: cuáles son sus consecuencias y las estrategias nutricionales
La falta de magnesio afecta a cerca de la mitad de la población en Estados Unidos y se ha convertido en una inquietud creciente entre los especialistas. Según datos difundidos por The Washington Post, este mineral es clave para funciones como la regulación de la presión arterial -- leer más
Noticias del tema