Con caries, 3 de cada 4 niños en la primaria

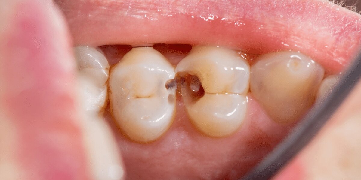
Tres de cada cuatro estudiantes de primaria en escuelas públicas del país presentan caries, según informó la Secretaría de Educación Pública (SEP) al dar a conocer los resultados de la estrategia nacional Vive Saludable, Vive Feliz, cuyo objetivo es identificar y prevenir problemas de salud en la infancia.
El titular de la SEP, Mario Delgado, indicó que, a un año de su implementación, brigadas de salud han evaluado a 9.1 millones de alumnos en más de 75 mil escuelas primarias públicas, revisando peso, estatura, índice de masa corporal, salud visual y bucal. Los datos preliminares muestran que el 76 % de los niños evaluados tienen caries y que más de la mitad nunca ha visitado a un dentista.
Durante un evento en la Escuela Primaria España, en el Centro Histórico de la Ciudad de México, el director general del IMSS, Zoé Robledo, destacó que más de 3,600 enfermeras y enfermeros han recorrido miles de escuelas para realizar revisiones médicas básicas a estudiantes de primero a sexto grado.
Como parte de la estrategia, los padres reciben un informe personalizado sobre el estado de salud de sus hijos, indicando si presentan sobrepeso, obesidad, caries o problemas de visión, junto con recomendaciones para acudir a clínicas del IMSS u otras unidades médicas. Hasta ahora, más de 600 mil estudiantes han recibido atención médica tras estas evaluaciones.
Delgado también resaltó que se ha eliminado la venta de comida chatarra en las escuelas y se promueve la actividad física y la alimentación balanceada. Además, la información recabada se integra en un registro digital de salud escolar, lo que permitirá dar seguimiento anual al estado de los menores.
Por instrucciones del gobierno federal, la estrategia se extenderá a secundarias y preparatorias. En el evento participaron estudiantes y madres de familia, quienes recibieron de manera simbólica los informes con los resultados. Entre los momentos que generaron risas, un alumno sugirió “dejar de ver La Rosa de Guadalupe y las series coreanas” para dedicar más tiempo a la actividad física y a hábitos saludables.
ENFERMEDADES : Qué mosquitos transmiten la malaria y cómo protegerte
Un zumbido casi imperceptible al caer la noche puede representar el inicio de un problema de salud global: la malaria. Los mosquitos que la transmiten no son solo insectos molestos, sino vectores altamente eficientes capaces de introducir parásitos directamente en el organismo -- leer más
Noticias del tema