Las mamografías asistidas por IA detectan más cánceres de mama difíciles de encontrar

La inteligencia artificial (IA) podría disminuir la cantidad de cánceres de mama que se identifican entre una mamografía y otra, de acuerdo con los resultados recientes de ensayos clínicos.
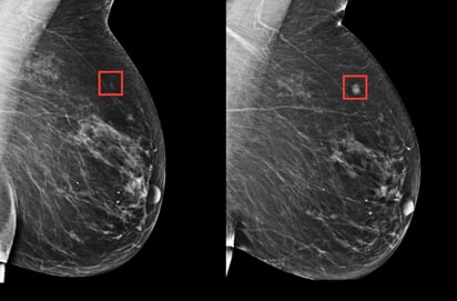
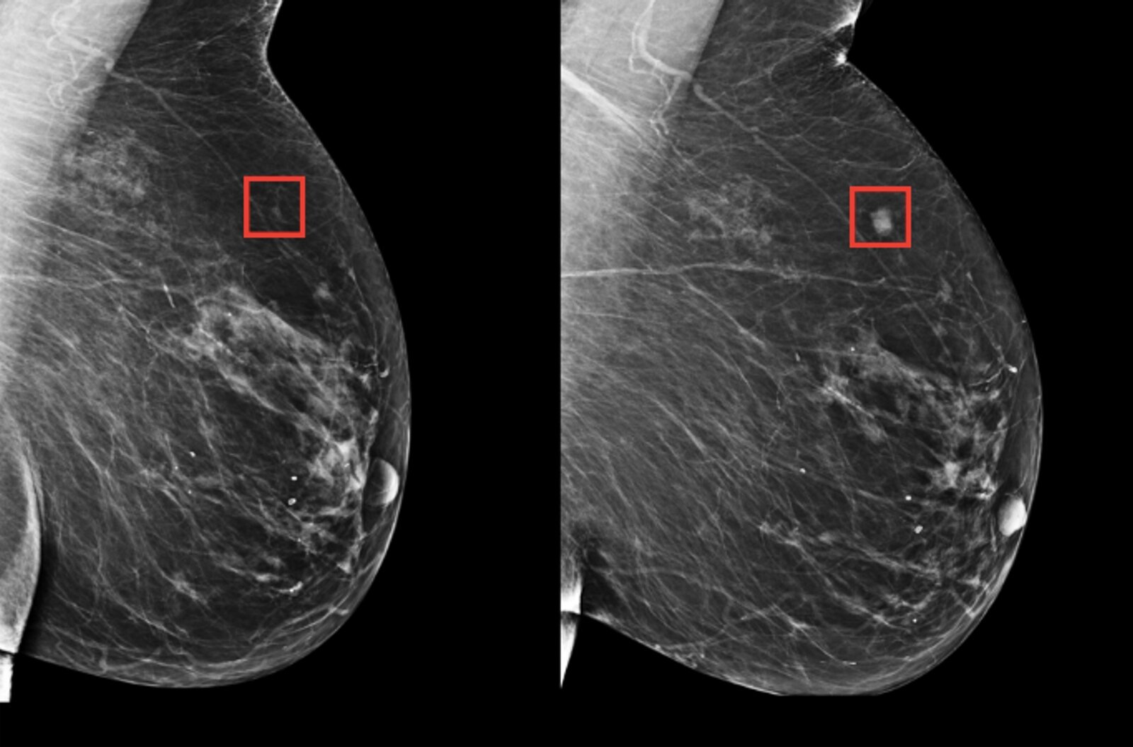
Según un estudio publicado el 29 de enero en The Lancet, se observó una reducción del 12% en los diagnósticos detectados en el periodo posterior a un cribado respaldado por IA, un indicador considerado clave para medir su eficacia. Investigaciones previas del mismo equipo ya habían mostrado que el uso de IA incrementó en 29% la detección de tumores sin aumentar los falsos positivos.
La doctora Kristina Lang, profesora asociada de la Universidad de Lund en Suecia y autora principal del estudio, explicó que se trata del primer ensayo clínico aleatorizado que evalúa el uso de IA en el tamizaje de cáncer de mama y el más amplio hasta ahora sobre IA aplicada al cribado oncológico. De acuerdo con sus conclusiones, la tecnología facilita la identificación temprana de tumores clínicamente relevantes, lo que se traduce en menos casos agresivos o avanzados diagnosticados entre revisiones.
Estudios anteriores estimaban que hasta 30% de los cánceres detectados después de una mamografía negativa ya estaban presentes, pero no fueron identificados en ese momento. Con este antecedente, investigadores y médicos han entrenado sistemas de IA para mejorar la lectura de las imágenes y detectar lesiones difíciles de apreciar.
Aun así, no estaba claro si el uso de IA realmente reduciría los cánceres diagnosticados entre controles. Para aclararlo, el nuevo estudio incluyó a más de 100,000 mujeres en Suecia que fueron asignadas aleatoriamente a dos grupos: uno con mamografías asistidas por IA y otro con el método tradicional, en el que dos radiólogos evaluaban cada imagen. Las pruebas se realizaron entre abril de 2021 y diciembre de 2022.
El sistema de IA empleado había sido entrenado con más de 200,000 estudios previos procedentes de hospitales en más de 10 países. Los resultados mostraron que el 81% de los casos de cáncer en el grupo con IA se detectaron durante el cribado, frente al 74% en el grupo convencional.
Entre una revisión y otra, se identificaron aproximadamente 1.55 casos por cada 1,000 mujeres en el grupo con IA, comparado con 1.76 por cada 1,000 en el grupo estándar. Además, los tumores en el grupo asistido por IA tendían a diagnosticarse en fases más tempranas y tratables. En comparación con el método tradicional, hubo 16% menos cánceres invasivos, 21% menos tumores de gran tamaño y 27% menos casos agresivos.
Las tasas de falsos positivos fueron similares en ambos grupos: 1.5% con IA frente a 1.4% sin ella.
La investigadora Jessie Gommers, del Centro Médico de la Universidad Radboud en los Países Bajos, subrayó que estos hallazgos no implican reemplazar a los profesionales de la salud, ya que la mamografía asistida por IA sigue requiriendo la supervisión de al menos un radiólogo. No obstante, señaló que esta tecnología podría aliviar la elevada carga de trabajo, permitiendo a los especialistas dedicar más tiempo a otras tareas clínicas y potencialmente reducir las listas de espera.
Resultados previos del mismo ensayo ya habían mostrado una disminución del 44% en la carga laboral de los radiólogos cuando utilizaban IA como apoyo.
Pese a los datos prometedores, los investigadores consideran necesario realizar más estudios para evaluar si estos beneficios se replican en otros países o si la herramienta puede ser especialmente útil para radiólogos con menor experiencia. También será importante analizar los efectos a largo plazo y la relación costo-beneficio del cribado asistido por IA.
Si futuras evaluaciones continúan mostrando ventajas frente al método convencional, podría consolidarse un argumento sólido para incorporar la IA en programas de detección masiva, sobre todo en contextos donde existe escasez de personal especializado.
ENFERMEDADES: Intervenciones en la microbiota: una vía para mejorar la tolerancia a los tratamientos oncológicos
El control de la toxicidad gastrointestinal continúa siendo uno de los principales desafíos en la práctica clínica, ya que hasta 90 % de los pacientes presenta síntomas que pueden afectar la adherencia al tratamiento. Una revisión sistemática reciente con metanálisis analizó -- leer más
Noticias del tema