¿Te duelen los dientes con el frío? Estas son las razones más comunes

Sentir un dolor punzante al consumir alimentos fríos suele indicar que la protección natural de los dientes está dañada. Esta condición, conocida como sensibilidad dental, es bastante común y puede deberse a distintas causas, como un cepillado inadecuado o problemas en las encías.
Ignorar este tipo de molestias no solo afecta el bienestar diario, también puede esconder problemas bucales más serios. Por eso, es importante entender qué las provoca y cómo prevenirlas.
Una de las causas principales es el desgaste del esmalte, la capa externa que protege al diente. Cuando esta se deteriora, queda expuesta la dentina, que está conectada a los nervios, lo que genera dolor al contacto con el frío.
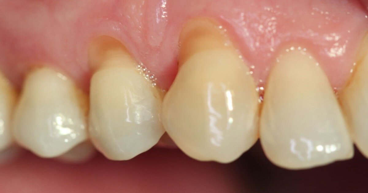
Otra razón frecuente es la retracción de las encías. Cuando estas se desplazan, dejan al descubierto la raíz del diente, una zona mucho más sensible porque no cuenta con esmalte protector.
El uso de cepillos con cerdas duras o un cepillado demasiado agresivo también puede dañar el esmalte con el tiempo, facilitando que los estímulos fríos lleguen a las terminaciones nerviosas.
Las caries en etapas intermedias son otro factor importante. Al avanzar, las bacterias penetran en capas más profundas del diente, permitiendo que el frío provoque dolor y señalando la necesidad de tratamiento.
El bruxismo, o rechinar los dientes, desgasta la superficie dental y puede generar pequeñas fisuras que reaccionan con sensibilidad ante cambios de temperatura.
Además, el consumo frecuente de alimentos y bebidas ácidas contribuye a debilitar el esmalte mediante un proceso de desmineralización, aumentando la sensibilidad.
Los tratamientos de blanqueamiento dental también pueden causar sensibilidad temporal, ya que abren los poros del esmalte, facilitando el paso de estímulos hacia el nervio.
Por otro lado, las grietas o fracturas, incluso si no son visibles, permiten que el frío llegue directamente a la pulpa del diente, provocando dolor intenso.
Finalmente, la acumulación de placa y sarro irrita las encías y favorece su retracción, además de generar ácidos que deterioran el esmalte.
Atender estas causas a tiempo es clave para evitar complicaciones y mantener una buena salud bucal.
ENFERMEDADES : Estudio señala a un popular edulcorante por su contribución directa a la obesidad
Los edulcorantes han vuelto a generar debate. Aunque durante mucho tiempo se promovieron como opciones con menos calorías para sustituir el azúcar, en años recientes diversas investigaciones sugieren que podrían no ser tan seguros como se creía. Por ejemplo, el eritritol -- leer más
Noticias del tema